Mikroskopowe odkrycia Ekolaków
Na ostatnich zajęciach koła ekologicznego „Ekolaki” uczniowie zamienili się w prawdziwych badaczy przyrody!
Na początku poznali preparaty stałe, dzięki którym mogli zobaczyć różne struktury komórek i tkanek pod mikroskopem. Następnie samodzielnie wykonali preparaty ze skórki cebuli, ucząc się, jak wygląda typowa komórka roślinna z błoną komórkową, jądrem i cytoplazmą.
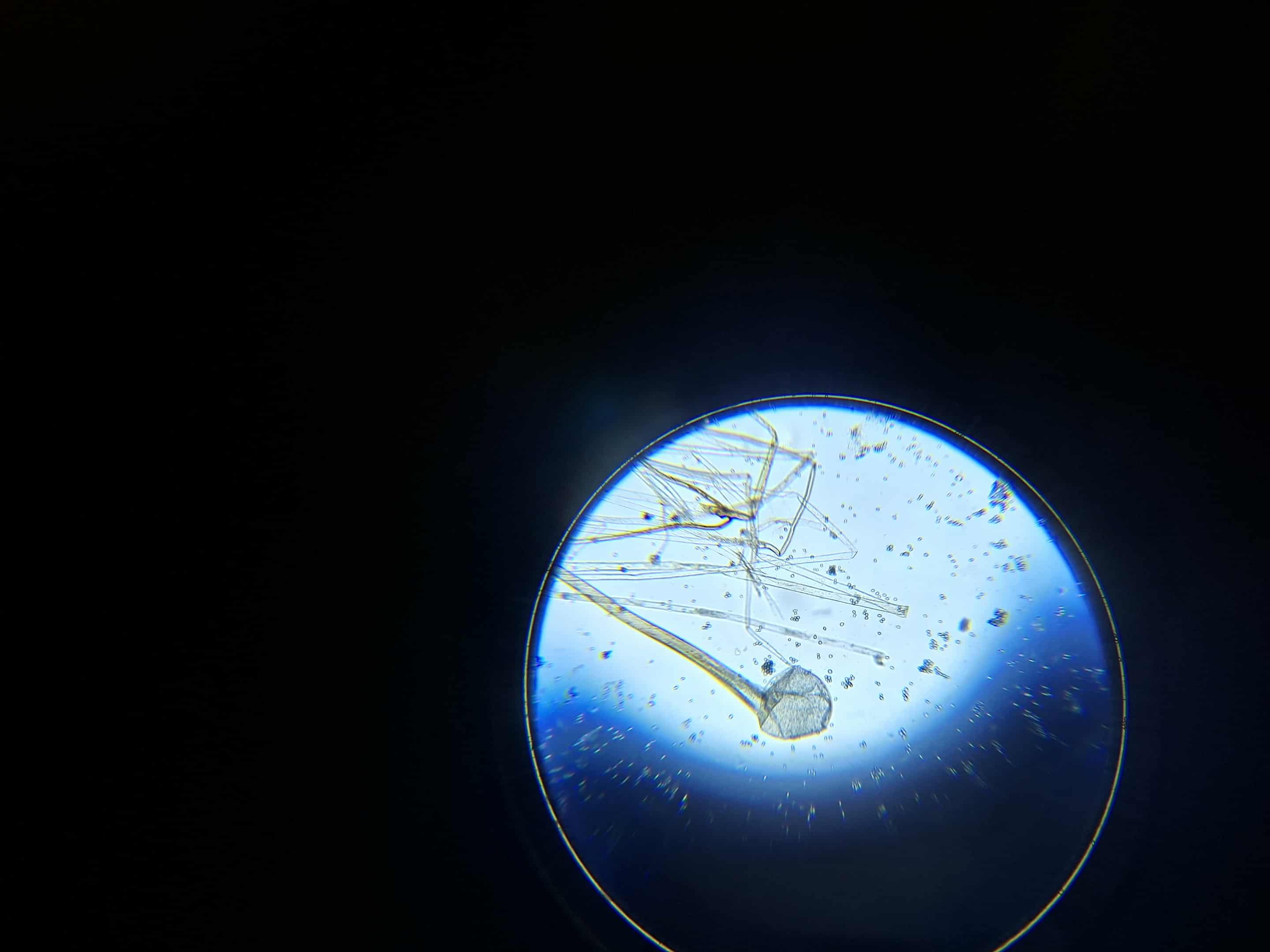
Najwięcej emocji wzbudziła jednak ostatnia część zajęć – obserwacja pleśniaka. Uczniowie dowiedzieli się, w jakich warunkach rozwija się ten grzyb, a pod mikroskopem mogli zobaczyć jego strzępki, zarodnie i zarodniki.
Zajęcia pokazały, że świat mikroorganizmów jest niezwykle fascynujący i pełen tajemnic. Ekolaki z ogromnym zaangażowaniem pracowały z mikroskopami, a wiele osób po raz pierwszy mogło samodzielnie przygotować preparat mikroskopowy i obejrzeć go w powiększeniu.
Takie lekcje to doskonałe połączenie nauki i zabawy, które rozwija ciekawość świata i pokazuje, że biologia to nie tylko teoria z podręcznika, ale prawdziwa przygoda badawcza!
